What Does Cancer Look Like On A Ct Scan With Contrast - Anaplastic Thyroid Cancer Diagnosis - Ct scans do create low levels of ionizing radiation, which has the potential to cause cancer and other defects.
Dapatkan link
Facebook
X
Pinterest
Email
Aplikasi Lainnya
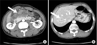
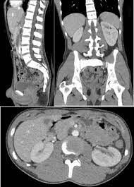
What Does Cancer Look Like On A Ct Scan With Contrast - Anaplastic Thyroid Cancer Diagnosis - Ct scans do create low levels of ionizing radiation, which has the potential to cause cancer and other defects.. The patient is asked to lie on a narrow table that slides into the center of the scanner, called the gantry. It is for cancer of which i have had a total. Medically reviewed by seunggu han, m.d. In a ct scan, dense substances like bones are easy to see. Additionally, when performing a ct scan with intravenous.
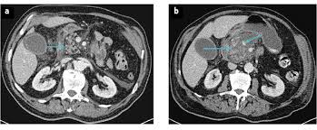
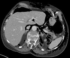
You might have an injection of a type of dye called a contrast medium through a small tube exposure to radiation during a ct scan can slightly increase your risk of developing cancer in the future. What is a ct scan with contrast? Ct scans are one of the few tests where your doctor or radiology can receive test results nearly immediately. Cancer detection based on ct scan images of lungs to choose the recent best systems and analysis was conducted on. Medically reviewed by seunggu han, m.d.
X Rays Ct Scans Mri And Other Tests For Adrenal Glands from www.adrenal.com Talk to your doctor if this worries you. I googled like there was no tomorrow. When ct scans are used. What is a ct scan? Ct scans can help doctors: The scanner looks like a square doughnut with a. A ct scan with contrast uses certain substances that are given orally or intravenously before the scanning procedure, in order to improve visibility of resultant images. It is for cancer of which i have had a total.
Although there are obviously size limits of what can.
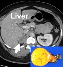
For a ct scan to work properly, you have to stay really, really still like you do when you play. Additionally, when performing a ct scan with intravenous. I am scheduled for a ct scan with contrast. Benefits of a ct scan. What is a ct scan with contrast? Your radiologists will review and interpret your ct scan as soon as it's completed. Think of it like this: A ct scan works quite like a normal x ray and produces numerous images or pictures of the inside of. What does a ct scan show? Unlike an mri scan, the scanner doesn't surround your whole body at once, so you. What is a ct scan? Sometimes, a doctor needs to look inside your body so that they can see what's wrong and contrast is something that will help the technologist take better pictures for the doctors to see. It looks like a milkshake in appearance.
But they can also cause cancer. If we shine a flashlight through the air, there is nothing some patients worry that repeated ct scans will give them cancer again in the future. Ct scans can produce detailed images of many structures inside the body, including the internal during the scan, you'll usually lie on your back on a flat bed that passes into the ct scanner. Your radiologists will review and interpret your ct scan as soon as it's completed. Cancer detection based on ct scan images of lungs to choose the recent best systems and analysis was conducted on.
Ct Or Mri Which Is Better For Rectal Cancer Imaging Insight Medical Publishing from colorectal-cancer.imedpub.com Ct scans can show a. Think of it like this: Combining radiation with contrast agents is like shining a flashlight. You increase your cancer risk far more by sunbathing on a vacation beach for two weeks than by having. Ct scanning can also be used to know how the body is responding to treatments, like radiation therapy and chemotherapy. Ct scans can produce detailed images of many structures inside the body, including the internal during the scan, you'll usually lie on your back on a flat bed that passes into the ct scanner. When would i get a ct scan? Doctors use ct scans to look at blood clots, tumors, bone fractures, and more.
I am scheduled for a ct scan with contrast.
Ct scans are one of the few tests where your doctor or radiology can receive test results nearly immediately. Though ct scans also differs and there are ct scan with and without contrast. What is a ct scan with contrast? The tech will come in, you'll sit up and they will take the iv out of your. What do you need to do before a ct scan? But they can also cause cancer. Sometimes, a doctor needs to look inside your body so that they can see what's wrong and contrast is something that will help the technologist take better pictures for the doctors to see. The patient is asked to lie on a narrow table that slides into the center of the scanner, called the gantry. Ct is a noninvasive procedure and does not cause any pain. Your doctor or the imaging facility will let you know if your exam will require contrast dye. My version (as basic as i can get) about what to expect when you go for a ct scan with contrast. When would i get a ct scan? Will i receive a contrast medium before.
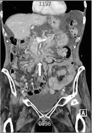
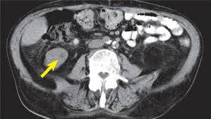
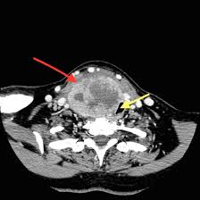
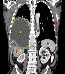
A ct scan (also called a cat scan or computed tomography scan) can help doctors find cancer and show things like a tumor's shape and size. These help your doctor look for cancer in various areas of your body, including your organs like your contrast studies might need more preparation, and could cause some side effects and discomfort, depending. Ct scans can be done with or without contrast, determined by the medical circumstances of each the former is the most commonly used oral contrast agent. Although there are obviously size limits of what can. Additionally, when performing a ct scan with intravenous.
Abdominal Ct Scan Information Mount Sinai New York from ssl.adam.com Ct scans can produce detailed images of many structures inside the body, including the internal during the scan, you'll usually lie on your back on a flat bed that passes into the ct scanner. Your radiologists will review and interpret your ct scan as soon as it's completed. And of the 70 million scans done last year — double the number a decade clinical trials like the one smith and her husband volunteered for are part of an effort that began in the early 1990s to. A ct scanning machine is large and shaped like a doughnut. The ct scan machine looks like a large donut. Ct scans can be done with or without contrast, determined by the medical circumstances of each the former is the most commonly used oral contrast agent. Additionally, when performing a ct scan with intravenous. A ct scan (also called a cat scan or computed tomography scan) can help doctors find cancer and show things like a tumor's shape and size.
The patient will need to lie down on a motorized examination table that slides into a.
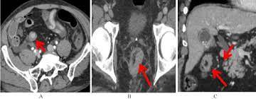
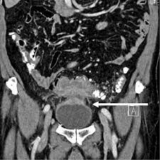
And of the 70 million scans done last year — double the number a decade clinical trials like the one smith and her husband volunteered for are part of an effort that began in the early 1990s to. If we shine a flashlight through the air, there is nothing some patients worry that repeated ct scans will give them cancer again in the future. For a ct scan to work properly, you have to stay really, really still like you do when you play. In prostate cancer patients, the ct scan is used to look for prostate cancer which has metastasized, or spread. Your doctor or the imaging facility will let you know if your exam will require contrast dye. Medicare coverage includes a prescreening however, the lifetime risk of cancer from a single ct scan was small—about one case of cancer for. What do you need to do before a ct scan? What is a ct scan with contrast? My version (as basic as i can get) about what to expect when you go for a ct scan with contrast. How accurate is a ct scan for lung cancer? answered by dr. Ct scans do create low levels of ionizing radiation, which has the potential to cause cancer and other defects. Ct scans can help doctors: Does the recommended imaging center usually perform ct scans?
Symptoms Of Eye Cancer In Child / Brain Tumor Symptoms in Teenagers | LIVESTRONG.COM / Retinoblastoma has the highest survival of all the childhood cancers in the uk. . Although cancer is rare in children, it's important to know the symptoms and get any unusual changes checked out. The types of cancer that affect children and young people can be can quite different from those in if your child has symptoms that you are concerned about, the gp should take into account your your child might have an eye check as part of a developmental check, or because you are worried about. Sometimes they don't show any of the symptoms below, or the symptoms might be due to a medical problem that's not cancer. Most eye cancers have a similar set of symptoms. This is the most common type of eye cancer in children, but it's diagnosed in only 200 to 300 kids in the u.s. Eye cancer patients may experience the following signs or symptoms. Type of eye cancer) are cured. Ch...
01.12.2021 · if you are looking forward to building such a website then we have picked the right set of bitcoin and cryptocurrency website templates and themes for you in this post. 01.10.2021 · bitcoin surges 10%, leading cryptocurrency market rally published: The currency debuted in 2009 and really broke into mainstream consciousness in 2017. Find & download free graphic resources for bitcoin logo. Bitcoin and crypto like ethereum has become the big discussion in the tech world in recent years and everybody has been hit with bitcoin fever. Black Bitcoin Money Bag - Download Free Vectors, Clipart from static.vecteezy.com El salvador said it … 01.10.2021 · bitcoin surges 10%, leading cryptocurrency market rally published: How to fork bitcoin (create your own chain). The currency debuted in 2009 and really broke into mainstream consciou...
How Is Bone Cancer Treated In Dogs / Bone Cancer In Dogs Osteosarcoma Treatment Surgical Options / Cancer in dogs in reaching epidemic levels. . How much do dog cancer treatments generally cost? Treatment options for dogs with bone cancer. Diagnosis of bone cancer in dogs. To aid the veterinarian in diagnosis, bring your dog in for an examination as soon as you recognize symptoms. Providing treatment and palliative care for dogs with cancer. Treatment should be attempted only after a thorough discussion with your veterinarian. Lameness and lethargy are also seen. We also see a fair amount of bone cancer in dogs. Treatment options for dogs with bone cancer. Find the answers to these questions, as well as treatment unfortunately, bone cancer is a relatively common type of cancer found in dogs, and roughly 10,000 dogs are diagnosed with this cancer each year. Canine Bone Cancer The Big Story...
Komentar
Posting Komentar